CLEVELAND, OH (Cleveland Clinic) - August 1st is World Lung Cancer Day, and here in the United States, lung cancer is the second most common cancer in both men and women – which is why lung cancer screenings are so important.
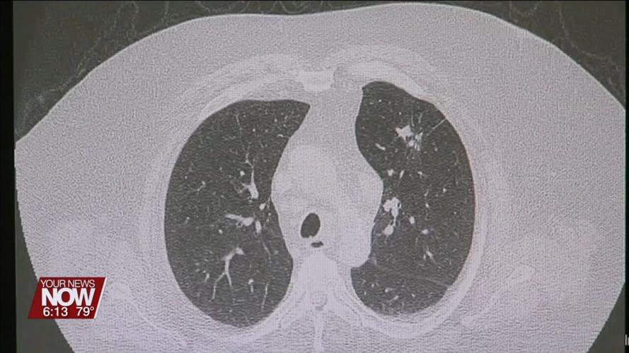
But doctors say that fear shouldn't stop a person from getting screened – especially if it can save their life. Right now, lung cancer screenings are recommended annually for adults between 50 and 80 years old who have a 20-pack-year smoking history and currently smoke, or have quit within the past 15 years. For those unfamiliar, a lung cancer screening is non-invasive and involves a CT scan which creates a detailed X-ray of the lungs. And while smoking is the leading cause of lung cancer, there can be other risk factors too. For example, lung cancer can run in a person's family or they could be exposed to something environmental like radon.
"If you are in that group that would qualify for a screening, I would certainly recommend that. So we have a chance to find any possible disease early. And by the way, most nodules or spots we find in the CT scan done for screening, they're actually benign. So often we just monitor them," commented Dr. Humberto Choi, Cleveland Clinic.
Doctor Choi says besides lung cancer screenings, it's also important to tell your physician about any concerning symptoms, like coughing or coughing up blood, losing weight, new shortness of breath, or wheezing.
